マウスピース矯正後の黄ばみを気にされている男性のオフィスホワイトニング後の変化
那覇のホワイトニング専門歯科医院 ホワイトニングサロンボーテ那覇のホワイトニング症例報告です。
主訴
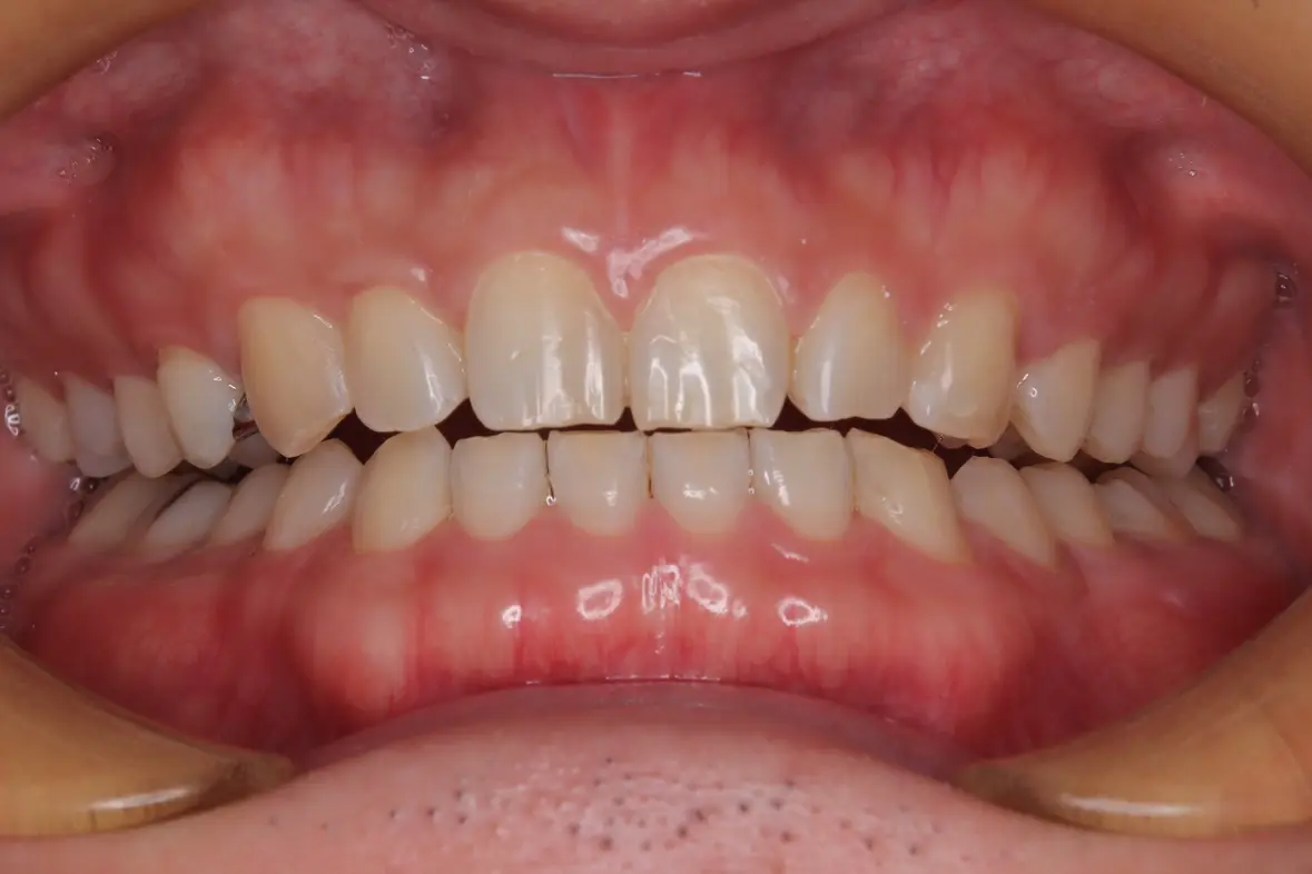
30代男性 マウスピース矯正後の歯の黄ばみを気にされているお客様
初診時シェイド
右上1 A3
右上3 A3.5
目標の精度は020まで上げたいとご希望。
マウスピースは既にお持ちでした。
施術内容
パーフェクト美白プラン(3ヶ月分)(税込168,300円)
・オフィスホワイトニング7回分
(通常6回+マウスピース分を1回オフィスホワイトニング追加)
・クリーニング
(スタンダードケア)1回分
・マウスピーストレー上下・付属品
・ホームジェル5日分×18本
・NBベリーホワイト1本
・NBトゥースペースト1本
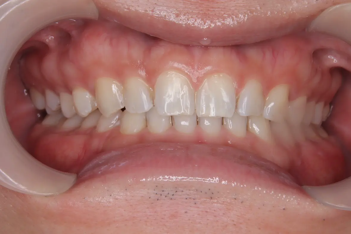
歯のシェードの変化
- 初診時
- 3ヶ月後
初診時シェード 右上1 A3 右上3 A3.5
目標020
3回目のオフィスホワイトニングでは、右上1
030 右上3 A1
ホームホワイトニング22%までアップして毎日2時間程度を行なっていた。痛みが出始めたので濃度16%に移行して時間を長めに置くようにした。
6回目のオフィスホワイトニング時には右上1 020 右上3 040
ペースダウンしたもののホームホワイトニング16%は週に数回行っていた。
スタッフコメント
初診時はマウスピース矯正中でした。
途中からリテーナーに変更されたので、夜寝てる時にホワイトニングをしたりされていたようです。
痛みが出てからは数日おきにホームハイトリングをしていただき、シェイドの上がりが停滞気味だったので、長い時間低濃度で置いていただくことをご検討いただいた。
少し食いしばりや歯ぎしりなども多い方なので、歯が若干ホワイトニングの浸透率が下がっているような気がする。
最終的にはご本人はご満足されていたので、現段階ではクリーニングとホワイトニングのメンテナンスを3ヶ月に1階お越しいただいている状態で、おうちではホームホワイトニングは残りのホームジェルを使って行っていただいている。
アクセス
那覇のホワイトニング専門歯科医院なら、ホワイトニングサロンBeaute那覇 へ
沖縄県那覇市おもろまち4丁目9番1号
日付:2023-10-21 カテゴリ: ホワイトニング症例
横浜ワールドデンタルショー9/30〜10/1 初ボーテ&ラ...
那覇のホワイトニング専門歯科医院 ホワイトニングサロンボーテ那覇です。 横浜ワールドデンタルショー9/30〜10/1 初…
60代女性セルフホワイトニング10回以上ある方の医療ホワイトニング...
那覇のホワイトニング専門歯科医院 ホワイトニングサロンボーテ那覇のホワイトニング症例報告です。 主訴 60代女性 セルフ…

