歯茎の黒ずみが気になる女性の症例
那覇のホワイトニング専門歯科医院 ホワイトニングサロンボーテ那覇のホワイトニング症例報告です。
女性 歯茎の黒ずみを気にされて、歯茎ピーリングの施術をHPでみてご来店。
歯ぐきピーリングの施術希望されました。
施術内容
ガムピーリング初回一回目
歯茎ピーリングカウンセリング
歯茎ピーリング施術
11000円
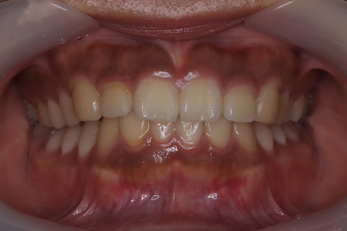
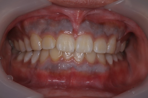
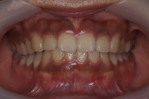
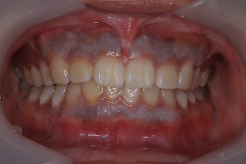
歯ぐきの色の変化
初回
術前と施術後すぐの写真(白くなっている写真)をお見せして施術を行ったことを見ていただき、2週間後にチェックで見たいとお伝えしてご予約していただきました。
- 施術前
- 施術後
2週間後
チェック時に再度歯茎ピーリングの希望あれば施術することを説明し、お客様満足のためチェックで終了。

コメント
初回、歯茎の黒ずみを気にされて、歯茎ピーリングの施術をHPでみてご来店。
カウンセリングでは1回でご満足される方もいれば、再度歯茎ピーリング施術行う方もいること、施術中お薬塗布時の若干の痛みや、歯ブラシが当てにくくなることなど説明。
施術後は思ったよりは痛みは大丈夫だったと。
2週間後のご来店では、キレイになった!と喜んでくださり、一回で十分満足と話していただけた。
また数年後に黒ずみが気になることもあるかもしれないので、その時はまた歯茎ピーリング施術に来てくださいとお伝えホワイトニングは特に興味がないとのことで、これで終了になりました。
アクセス
那覇のホワイトニング専門歯科医院なら、ホワイトニングサロンBeaute那覇 へ
沖縄県那覇市おもろまち4丁目9番1号
日付:2023-11-29 カテゴリ: ホワイトニング症例

