Beaute 那覇 ホワイトニングNEWS

Beaute 那覇
ホワイトニングNEWS

ボーテの医療ホワイトニングで、
自信の持てる口元に。
実際の症例をぜひご覧ください。
那覇はもちろん、沖縄の皆さんに
お越しいただいています。

News@Beaute
ホワイトニング症例
2024-2-2 記事著者: 歯科医師 関塚 知義

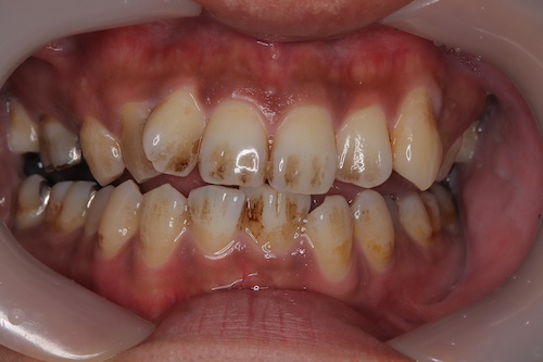
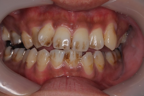
バコ1日20本吸う20代男性クリーニングでステインを除去

20代男性喫煙6年 一日20本、クリーニング希望 ステイン除去希望
他のクリニックも見ていたがHP見てボーテが良さそうだなと感じた。

施術内容

スタンダードクリーニング希望
ベリーおすすめ購入
隣接ステインやプラークにフロアフロス指導

コメント

1回のクリーニングでのステイン除去、ビフォーアフター写真

一回でここまでステイン取れて嬉しそうにされていた。

ベリーとフロスをお勧めし、購入された。

定期的なクリーニングの必要性をつたえたが、一旦はこれで大丈夫と仰っていた。

喫煙があるのでまたステインつきやすくなると説明しベリー、フロスを毎日使用すること指導した。

記事著者: 歯科医師 関塚 知義
ホワイトニングサロンボーテ那覇
日付:2024-2-2 カテゴリ: ホワイトニング症例

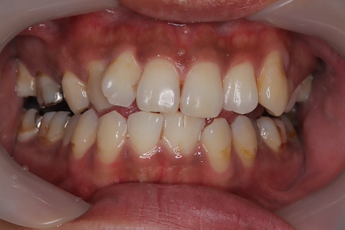
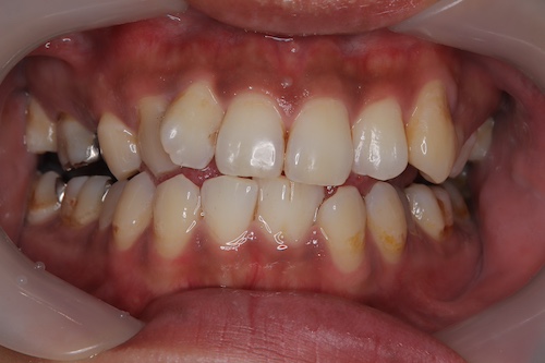
知覚過敏のある30代女性ホワイトニング症例

30代後半女性 去年約1年程ホワイトニング(3/w30分毎)と、オフィスホワイトニング2回、白さやや実感するものの、金額…

2ヶ月で白く!!10代の女性のホワイトニング

10代女性 成人式があるため白くしておきたい。喫煙者。歯茎から出血あり。 施術内容 ナチュラル美白プラン2ヶ月 税込12…

ホワイトニングサロン ボーテ那覇では、
「歯くしたい方」、「歯黄ばみが気になる方」、結婚式や就職活動など
大事なイベントを控えている方もお気軽にご相談ください。

ホワイトニングサロン ボーテ那覇

沖縄県那覇市おもろまち4丁目9番1号
4-9-1,Omoromachi,Naha city,Okinawa

ホワイトニングをご検討中の方へ

標準的な治療内容

アパタイト配合のホワイトニング剤とLEDライトを使用し、歯がしみるのを防ぎ、歯を強くしながら色素を分解して歯を白くします。

標準的な費用

ホワイトニングは自費診療です。

ボーテ式ホワイトニング 60分 15,400円(税込)
ホームホワイトニング 10日分 31,900円(税込)
起こり得る副作用
(リスク)
  • 個人差がありますが、施術中や施術後に歯がしみる場合があります。
  • 歯が重なっている箇所は光が届かないため、色ムラができる場合があります。