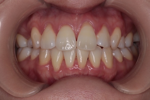
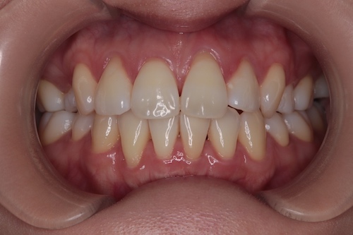
冷たいものでしみる方でも問題なくオフィスホワイトニングできます
普段のうがいや冷たいものでもしみる方でしたがしみにくいようカバーし、オフィスホワイトニングすることでしみることなくできました。
また、ホームホワイトニングトレーにトゥースペーストを歯に装着し、パックをすることで普段からのしみるのも減り、白くすることができました♡
- 初診時
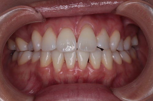
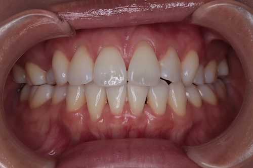
- 3ヶ月後
3ヶ月通ってくださり白くなりました〜🌼
施術したホワイトニングメニュー
▽オフィスホワイトニング7回
▽プロフェッショナルクリーニング1回
▽ホームホワイトニング18本
▽毎日のホームケア
スーパースマイル(歯磨き粉)
トゥースペースト(トリートメント)
パーフェクト美白プラン(税込154,000円)を受けてくださいました♡
プラン終了後はオフィスホワイトニングの回数券を購入して頂き、月1ペースで来店してくださってます✨
カレーライスの着色と歯の黄ばみを2ヶ月ホワイトニングで白くした症例
約2ヶ月通っていただき白くなりました〜🌼 #gallery-2 { margin:…
前歯の差し歯の色とマッチするようホワイトニングした症例
初めての来店時は前歯の被せ物(差し歯)の方が明るく少し違和感がありましたが、ホワイトニングで天然歯を明るくして差が減りま…

