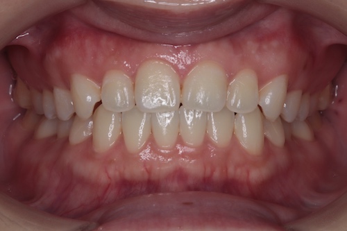
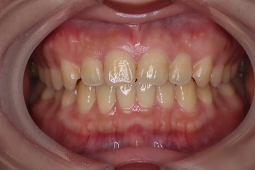
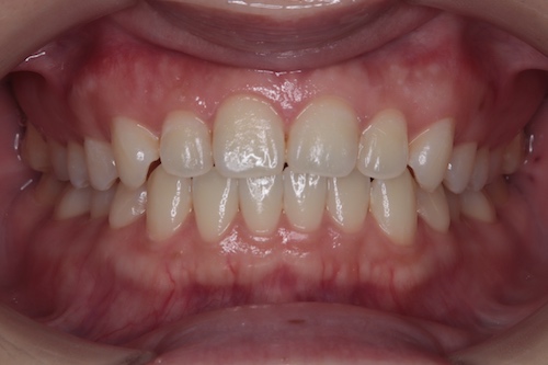
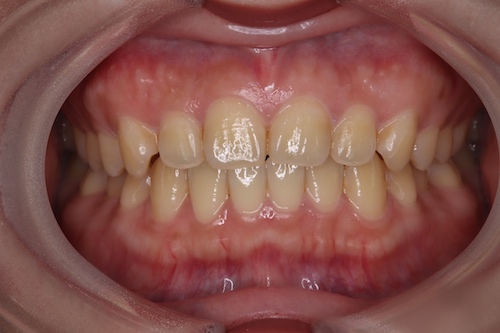
歯のコンプレックスがホワイトニングで解消された症例
3ヶ月コースを受けて頂き、約3〜4ヶ月で白くなりました!
- 初診時
- 3ヶ月後
ホワイトニングの施術内容がこちらです。
・オフィスホワイトニング合計7回
・プロフェッショナルクリーニング1回
・ホームホワイトニング14本
・ホームケア
ベリーホワイト(歯磨き粉)、トゥースペースト(トリートメントケア)
(税込168,300円)
パーフェクト美白プランで白くした症例です。
メンテナンスはホームホワイトニングと3ヶ月に一度のクリーニングとオフィスホワイトニングで綺麗な白さをキープして頂いています。
歯にコンプレックスをお持ちでしたが、ホワイトニング後とてもコンプレックスが解消されたととても喜んで頂きました🎵
日付:2023-7-3 カテゴリ: ホワイトニング症例
前歯の差し歯の色とマッチするようホワイトニングした症例
初めての来店時は前歯の被せ物(差し歯)の方が明るく少し違和感がありましたが、ホワイトニングで天然歯を明るくして差が減りま…

