美意識が高い50代女性ホワイトニングの症例
50代女性 美意識が高いお客様。
目標シェードはB1の歯の白さになりたいと来院された。
施術内容
パーフェクト美白プラン(3ヶ月分) (税込み168,300円)
・オフィスホワイトニング6回分
・クリーニング
(スタンダードケア)1回分
・マウスピーストレー上下・付属品
・ホームジェル5日分× 18本
・NBベリーホワイト1本
・NBトゥースペースト1本
シェードの変化
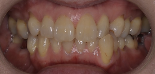
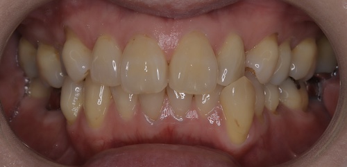
- 施術前
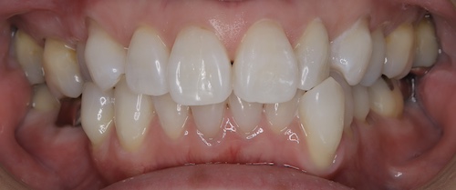
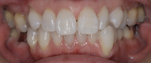
- 施術後
初診時シェード 右上1 B4 左上3 A4
目標B1
4回目のオフィスホワイトニングでは、右上1 B1 左上3 A1
ホームホワイトニング10% 2〜3日寝ている間を行っていた。
6回目のオフィスホワイトニング時には、右上B1040左右3 A1
月に2〜3回行っていた。
コメント
初回カウンセリング時、デュアルホワイトニングを理解されたが、オーバーナイトのホームホワイトニングで知覚過敏による痛みが出てしまい、ホームホワイトニングの頻度が減った。
初めは、週の2〜3回。痛みが出てからは月に2〜3回と頻度が減ってしまった。
オーバーナイトでホームホワイトニングをしてしまうとどうしても知覚過敏による痛みがでるため、日中することに変更。
そうすることで痛みも減り週に2.3回できるようになった。
今後はメンテナンスの必要性をお伝えしていく。
日付:2024-2-22 カテゴリ: ホワイトニング症例

