Beaute 那覇 ホワイトニングNEWS

Beaute 那覇
ホワイトニングNEWS

ボーテの医療ホワイトニングで、
自信の持てる口元に。
実際の症例をぜひご覧ください。
那覇はもちろん、沖縄の皆さんに
お越しいただいています。

News@Beaute
ホワイトニング症例
2024-3-6 記事著者: 歯科医師 関塚 知義

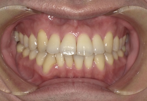
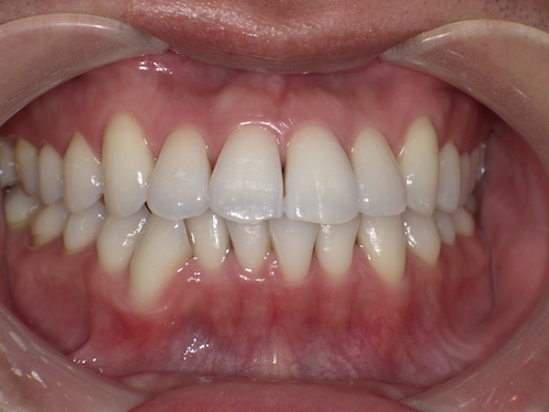
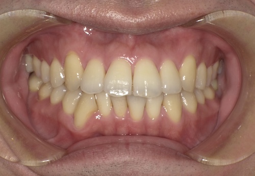
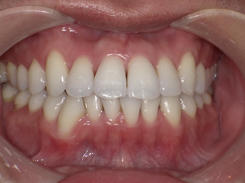
20代後半男性色戻りしにくいホワイトニング症例

20代後半男性 友人のInstagram見てボーテを知ったのが来院きっかけ。

色戻りのしにくいプランご希望で3ヶ月ご契約。

施術内容

パーフェクト美白プラン(3ヶ月)(税込168,300)
・オフィスホワイトニング6回分
・クリーニング(スタンダードケア1回分)
・マウスピーストレー上下・付属品
・ホームジェル5日分×18本
・NBベリーホワイト1本
・NBトゥースペースト1本

シェードの変化

初回時のシェード
右下3番→B4
右上1番→B3
10%毎日2h

4回目のオフィスホワイトニング
右下3番→A1
右上1番→BL3
16〜22%毎日2h

最終シェード
右下3番→BL3
右上1番→BL2
22%毎日1h

コメント

口腔内状況として、唾液は多いものの口呼吸傾向でステイン多量に付着。

健康面、審美面共に、クリーニングの必要性お話し、コース終了後も、継続的にクリーニングにお越しいただいている。

ホワイトニングでは、16%以降時、やや知覚過敏トゥースペーストのご使用で症状は治まる。

白さの追求心上がり、22%への濃度アップ希望。

知覚過敏だが、同じくトゥースペーストで消化。

ご希望の色味到達後は1/w、1h使用でメンテナンス中。オフィスは、1/6m頻度で継続中。

記事著者: 歯科医師 関塚 知義
ホワイトニングサロンボーテ那覇
日付:2024-3-6 カテゴリ: ホワイトニング症例
美意識が高い50代女性ホワイトニングの症例

美意識が高い50代女性ホワイトニングの症例

50代女性 美意識が高いお客様。 目標シェードはB1の歯の白さになりたいと来院された。 施術内容 パーフェクト美白プラン…

30代女性の色戻りのないホワイトニング症例

30代女性 オフィスホワイトニングは他院にて今年2回行った。 色戻りなくさらに白くしたいと来院された。 施術内容 ナチュ…

ホワイトニングサロン ボーテ那覇では、
「歯くしたい方」、「歯黄ばみが気になる方」、結婚式や就職活動など
大事なイベントを控えている方もお気軽にご相談ください。

ホワイトニングサロン ボーテ那覇

沖縄県那覇市おもろまち4丁目9番1号
4-9-1,Omoromachi,Naha city,Okinawa

ホワイトニングをご検討中の方へ

標準的な治療内容

アパタイト配合のホワイトニング剤とLEDライトを使用し、歯がしみるのを防ぎ、歯を強くしながら色素を分解して歯を白くします。

標準的な費用

ホワイトニングは自費診療です。

ボーテ式ホワイトニング 60分 15,400円(税込)
ホームホワイトニング 10日分 31,900円(税込)
起こり得る副作用
(リスク)
  • 個人差がありますが、施術中や施術後に歯がしみる場合があります。
  • 歯が重なっている箇所は光が届かないため、色ムラができる場合があります。